Tarih: 11.04.2024 12:02

Uzm. Dr. Yanık: “Şeker, tansiyon ve kolesterol hastaları, kalp-damar hastalıkları için risk oluşturuyor”

Facebook Twitter Linked-in

Kardiyoloji Uzmanı Uzm. Dr. Ahmet Yanık, şeker, tansiyon ve kolesterol yüksekliği bulunan hastalarının, kalp ve damar hatalıkları açısından risk oluşturduğunu söyledi.
Medicana Sağlık Gurubu doktorlarından Kardiyoloji Uzmanı Uzm. Dr. Ahmet Yanık, 8-14 Nisan Kalp Haftası nedeniyle kalp ve damar hatalıkları ile alakalı uyarılarda bulundu. Dünyadaki en önemli ölüm sebeplerinden biri olan kal ve damar hastalıklarına yakalanmamanın ve sağlıklı kalmanın detaylarını paylaşan Uzm. Dr. Ahmet Yanık, kalp ve damar hastalarının uyması gereken kuralları da ifade etti.

"Şeker, tansiyon ve kolesterol hastaları, kalp-damar hastalıkları için risk oluşturuyor"
Bazı hastalıkların kalp-damar hastalıkları için risk oluşturduğuna değinen Medicana Intarnational Samsun Hastanesi doktorlarından Kardiyoloji Uzmanı Uzm. Dr. Ahmet Yanık, "Kalp ve damar hastalıkları tüm dünyada olduğu gibi ülkemizde de en önemli ölüm sebeplerinin başında gelmektedir. Kalp sağlığımızı korumak istiyorsak, fiziksel aktiveye önem vermemiz gerekiyor. Haftanın 4-5 günü 30 ile 45 dakika fiziksel aktivitede bulunmalarını ve hareketsiz yaşamdan uzak kalınmasını öneriyoruz. Diyet çok önemli. Sebze ağırlıklı beslenmek, fastfood tarzı yiyeceklerden uzak durmak, tuz alımının kısıtlanmasına dikkat etmek önemli. Tuz kullanımının fazlalığı, tansiyonu tetikliyor. Tansiyon hastalığı da kalp ve damar hastalığı için ciddi bir risk faktörü oluşturuyor. Bunun için tuz alımına dikkat edilmesi gerekiyor. En dikkat edilmesi gereken konu da sigaranın bırakılmasıdır. Sigara, kalp sağlığı açısından ciddi risk faktörü. Sigara içenlerin kalp hastalıklarına yakalanma riski, içmeyenlere göre 3-4 kat daha fazla. Ayrıca şeker, tansiyon ve kolesterol yüksekliği kalp hastalıkları için risk oluşturuyor. Bu hastalıkları olanlar kontrollerini aksatmamalı ve ilaçlarını düzenli kullanmalıdır. 40 yaşını geçmiş herkese yılda en az 1 kez kalp muayenesini öneriyoruz. Bu muayeneden sonra da doktorun belirlediği sürede düzenli kontrollerin yaptırılması gerekiyor" dedi.

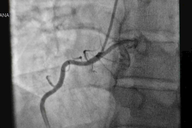
"Balon ve stent işlemi ile kapalı damarlar açılabiliyor"
Anestezi olmadan yapılan görüntüleme ve damar açma tekniklerinden de bahseden Uzm. Dr. Ahmet Yanık, "Kalp hastalıklarının en büyük belirtisi göğüs ağrısı, nefes darlığı, çarpıntı ve bayılma gibi şikayetler olur. Göğüs ağrısını birçok hastalık yapabilir. Kalp hatalığında göğüs ağrısı genelde göğsün orta kısmında çeneye veya sol kola yayılan, yaklaşık 10-15 dakika süren bir baskı, yanma şeklinde olan ağrıdır. Böyle ağrı ve yanması olanların kalp yönünden muayene olması gerekir. Hastaları muayene ederken fizik muayenenin yanı sıra EKG'lerini görüyoruz, ekokardiyografi yapıyoruz. Gerekli hastalarda efor testi ve bazı tetkikler yaparak damarlarda bir tıkanıklık var mı bunu buluyoruz. Eğer kalp damarında bir tıkanıklık bulursak o zaman koroner anjiyografi yapıyoruz. Koroner anjiyografi 10-15 dakika sürecek bir işlemdir. Hastalara anestezi vermeden el bileğinden ya da kasıktan anjiyolarını yapıp, kalp damarlarını görüntülüyoruz. Bu yöntemle kalp damarlarında bir tıkanıklık buluyorsak ve açılması gerekiyorsa genellikle aynı esnada balon ve stent işlemi ile damarlarını açıyoruz. Bazen çok ciddi ve fazla stent gereken darlıklar olabiliyor. Öyle durumlarda da hastaya bypass ameliyatı gerekebiliyor. O zaman da hastaları bypass ameliyatına yönlendiriyoruz" diye konuştu.
Kalp krizi anlarının hastalarda farklılık göstermesine de açıklık getiren Uzm. Dr. Yanık, "Kalp krizlerinin çeşitleri var. Bazı kalp krizleri daha ağır seyrediyor. Bayılan hastalarda aynı esnada ritim bozukluğu olabiliyor, kalbi duran hastalar olabiliyor. Bazen hastalar acil servise direkt kalbi durmuş şekilde gelebiliyor. Bunlar kalp krizinin boyutuna göre değişiyor. Tüm kalp krizleri aynı değil ama bazıları ağır seyredebiliyor. Genç yaşta kalp krizleri daha ciddi seyredebiliyor. Bazı hastalar hastaneye bile yetişemeyebiliyor. Kalp krizi anında yaşanan durumlar da krizin çeşidine ve hastanın yaşına, durumuna göre değişebiliyor" şeklinde konuştu.



Orjinal Habere Git
— HABER SONU —